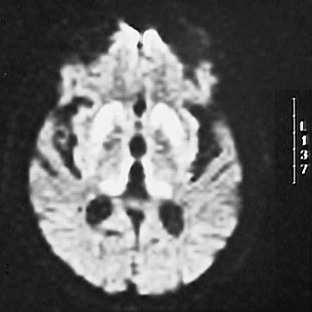
| This cerebral MRI scan demonstrates hyperintensity in the region of the basal ganglia and caudate bilaterally. This is a finding that, in association with a history of a rapidly progressive dementia with myoclonus and electroencephalographic changes of slow waves with spikes, suggests Creutzfeldt-Jakob disease (CJD). |
|