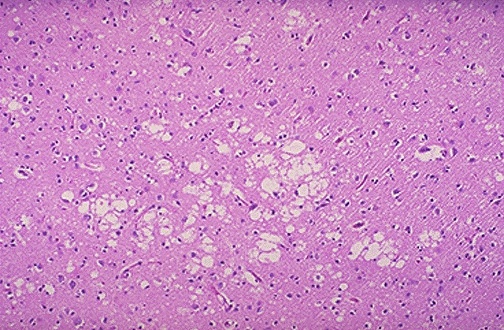
An area of vacuoles that are coalescing to microcysts are seen in the gray matter of a patient with CJD of more prolonged duration.