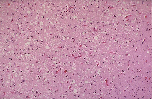
At medium power, there are numerous gray matter vacuoles, along with gliosis and neuronal loss, in a patient with advanced CJD.