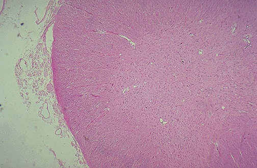
There is loss of anterior horn cells apparent in this H and E stained section of spinal cord in this microscopic section in a case of ALS.