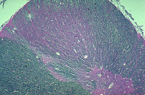
There is lateral column degeneration of the spinal cord microscopically in this case of ALS, as seen with Luxol fast blue stain.