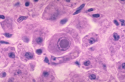
CMV can often be disseminated and involve a variety of organs, though the degree of organ failure from such involvement varies greatly. Seen here is a characteristic inclusion in liver.