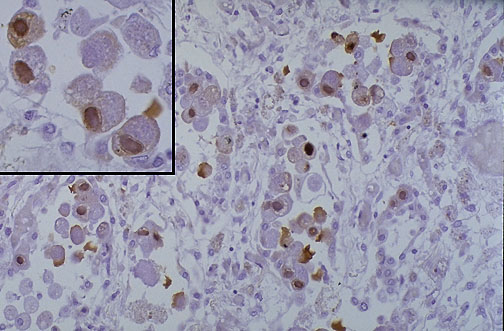
Immunoperoxidase staining may reveal CMV in some cases where the inclusions are not numerous or characteristic.