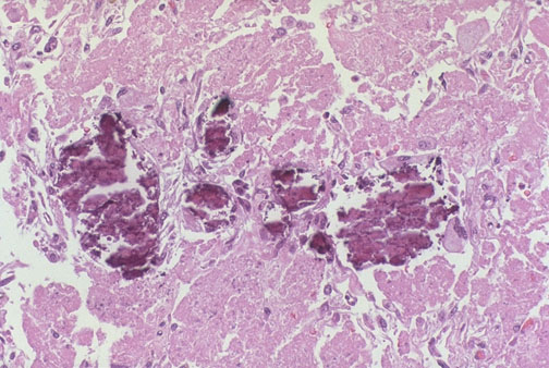
Pneumocystis carinii (jirovecii)
, often when disseminated and sometimes in the lung as shown here, can produce large areas of the foamy pink exudate that can calcify.