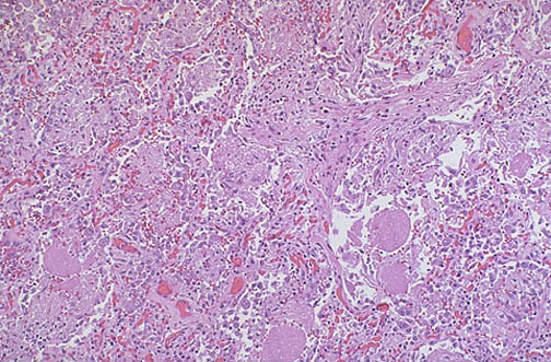
Pneumocystis carinii (jirovecii) may have a variety of "atypical" features, including scant foamy exudate and interstitial fibrosis, as seen here microscopically.