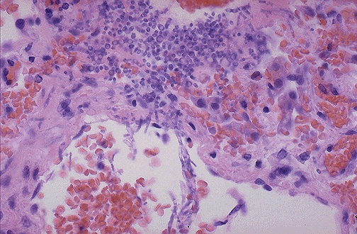
Candida albicans is seen here as an invasive process in a bronchus with H and E staining.