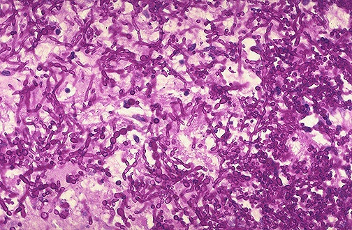
Candida albicans is seen here as an invasive process in the esophagus with PAS staining.