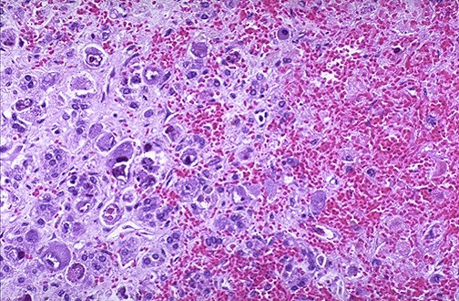
CMV most often involves the adrenal, but this uncommonly leads to major clinical signs or symptoms. Inclusions can appear in medulla and cortex.