
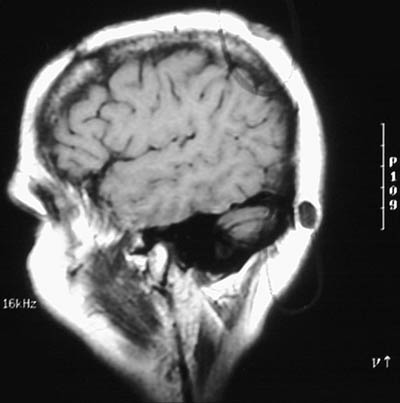
| The sagittal T1 weighted MRI scans of the head above and below reveal cysts in the scalp. The subcutaneous fat of the scalp is bright, while the acellular keratinaceous contents of the epidermal inclusion cysts are dark. A portion of epidermis trapped under the skin surface may continue to slowly grow and desquamate, producing the cyst. |
![]() |