
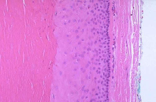
| This is an epidermal inclusion cyst excised from beneath the skin surface, with a rim of dermal connective tissue at the right. These cysts are seen most frequently on face, scalp, neck, and trunk. They are about 1 to 5 cm in size. They have a wall of epidermis that desquamates keratin, seen as the laminated pink material at the left here, which forms the soft cyst contents that give it characteristics which lead to the clinical description "sebaceous cyst". The cyst can rupture and lead to marked foreign body inflammation. |
![]() |