
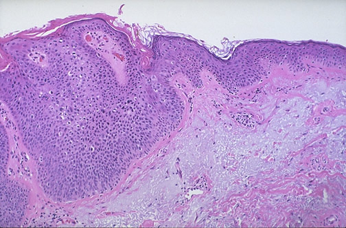
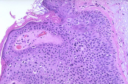
| Seen above at low power magnification is a squamous cell carcinoma in situ. The neoplasm does not extend below the basement membrane. This condition is sometimes called Bowen's disease. Note the normal skin to the carcinoma at the left. There is extensive solar elastosis of dermal collagen from sun damage. Note the pleomorphism and hyperchromatism of the neoplasm in the medium power view below. |
![]() |