
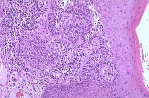
| A squamous cell carcinoma is seen here at medium power. The neoplastic cells extend downward into the dermis. Note the pleomorphism of the cells, and there is little keratinization. Compare with the normal skin at the right. An intense inflammatory infiltrate is present. |
![]() |