
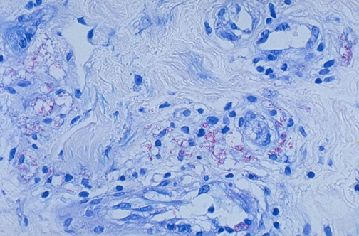
| The Kalaupapa leper colony is seen on the peninsula below the high sea cliffs on the north side of Moloka'i. When Hansen's disease, caused by Mycobacterium leprae, was introduced into the native Hawaiian population in the mid-19th century, it spread quickly, since this was a geographically isolated population with no natural resistance. Hansen's disease is generally poorly transmissible. Those Hawaiians affected were sent to Kalaupapa. Conditions in the colony were terrible, but through the efforts of Father Damien deVeuster, a Belgian priest who arrived in 1873, living conditions improved. Father Damien contracted the M. leprae infection himself and died in 1889, but his work was carried on by other dedicated persons. M. leprae proliferates best in cooler areas of the body, such as skin and peripheral nerve. Loss of sensation leads to repeated trauma and deformity. The more florid lepromatous form of the disease is seen in the skin biopsy above, with 'globi' that are macrophages filled with short, thin, red acid-fast bacilli. In the tuberculoid form, greater host resistance results in granuloma formation, and only scattered acid fast organisms are present. Modern pharmacologic therapy can easily halt Hansen's disease, making quarantine of affected persons unnecessary. |
![]() |