
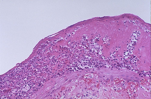
| Purpura fulminans, with extensive dermal vascular thrombosis followed by peripheral gangrene, can be due to sepsis (often with streptococcal organisms), coagulopathy (DIC or protein C or S deficiency), and warfarin therapy. Seen here is extensive skin necrosis with inflammation. |
![]() |