
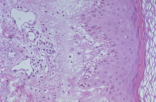
| At high magnification, the cytotoxic CD8 cell inflammatory reaction of erythema multiforme is characterized by epithelial cell necrosis at the dermal-epidermal junction. These lesions are "multiform" because macules, papules, vesicles, and bullae may be seen grossly, with symmetric involvement of the extremities. |
![]() |