
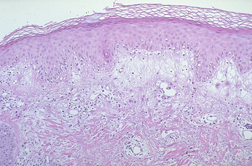
| Here is erythema multiforme. The classic gross "target" lesion on physical examination has a central vesicle surrounded by a zone of erythema. This uncommon, but usually self-limited, disorder may arise as a hypersensitivity reaction to infection, drugs, neoplasia, or collagen vascular diseases. Note the dermal edema with perivascular lymphocytic infiltrates. |
![]() |