
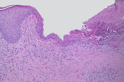
| The bite of the brown recluse spider (Loxosceles spider) initially produces a mild stinging sensation, but within hours there is intense pain along with erythema and then bulla formation. This can be followed by formation of a deep ulcer with necrotic base. Most of these ulcerative lesions will heal spontaneously, though weeks to months may pass, and some require debridement or skin grafting. |
![]() |