
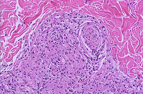
| This granuloma is seen around a peripheral nerve in the dermis. The lepra bacilli grow best just below body temperature, preferring the cooler skin and peripheral nerves. Hypopigmented patches or macular lesions with decreased sensation are seen on face, extremities, and trunk. Nodular disfiguring lesions can appear with the lepromatous form. |
![]() |