
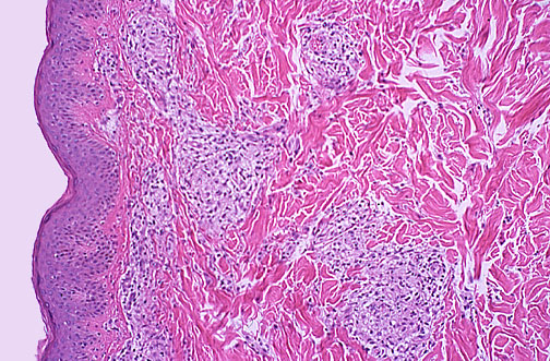
| Hansen's disease, also known commonly as leprosy, is the result of infection with Mycobacterium leprae. This infectious agent is poorly transmissible, and years of close contact with an infected person are necessary to acquire leprosy. This disease is still endemic in economically disadvantaged areas in tropical climates. Depending upon whether cell-mediated immunity is good or bad, infected patients may exhibit a "tuberculoid" or "lepromatous" form of disease respectively, depending upon whether there is a predominantly TH1 or TH2 cell mediated immune response. Seen here in dermis are ill-defined granulomas with an appearance that is "borderline" or between tuberculoid and lepromatous. |
![]() |