
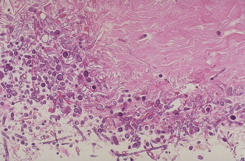
| The surface of this skin shows invasive mucormycosis, with broad, non-septate hyphae of Mucor circinelloides, one of the zygomycetes ("true" fungi). Such an infection may follow a burn injury. The appearance of these fungal organisms is seen at higher magnification below. |
![]() |