
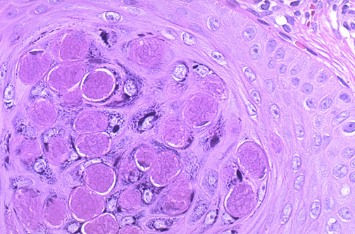
| At high magnification, there are large pink ovoid inclusions in epidermal cells. These are the "molluscum bodies" of Molluscum contagiosum, which is caused by a poxvirus spread by direct contact. The lesions spontaneously involute over a couple of months. |
![]() |