
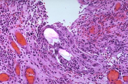
| At high magnification under polarized light, two bright polarizing hair shafts are seen in the center of this pilonidal sinus, surrounded by inflammation with foreign body giant cells. A pilonidal sinus probably arises when hair penetrates an area of inflammation and comes to rest in the dermis, where a foreign body reaction is elicited. A painful mass can result. |
![]() |