
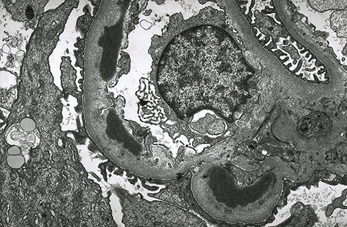
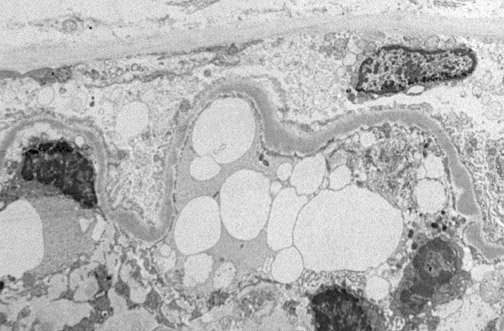
| The electron micrograph above demonstrates dense deposits in the basement membrane typical for MPGN type II. These dark electron dense deposits within the basement membrane often coalesce to form a ribbon-like mass of deposits, as seen in the electron micrograph below. |
![]() |