
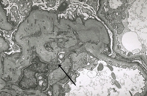
| This electron micrograph demonstrates a mesangial cell at the lower left that is interposing its cytoplasm at the arrow into the basement membrane, leading to splitting and reduplication of basement membrane that is piled up above the mesangial cytoplasm in this micrograph. This is MPGN type I. These characteristic EM changes occur when the mesangial cell (which has a macrophage-like function) goes after subendothelial immune deposits, but makes a mess of the basement membrane in the process. |
![]() |