
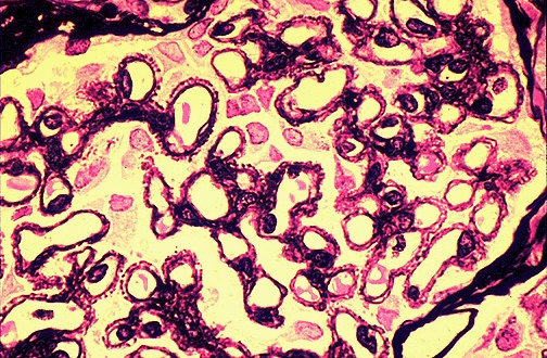
| A silver stain of the glomerulus highlights the proteinaceous basement membranes in black. There are characteristic "spikes" seen with membranous glomerulonephritis seen here in which the black basement membrane material appears as projections around the capillary loops. |
![]() |