
|
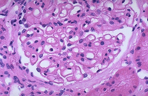
Here is the light microscopic appearance of membranous glomerulonephritis in which the capillary loops are thickened and prominent, but the cellularity is not increased. Membranous GN is the most common cause for nephrotic syndrome in adults. Some cases of membranous GN can be linked to a chronic infectious disease such as hepatitis B, a carcinoma, or SLE, but many cases are idiopathic. Characteristic urinalysis findings are shown below. |
![]() |
|
| Characteristic | Result |
|---|---|
| Color | Yellow |
| Appearance | Slightly Cloudy |
| Leukocyte Esterase | Neg |
| Nitrite | Neg |
| pH | 6.5 |
| Protein | 4+ |
| Blood | Neg |
| Specific Gravity | 1.015 |
| Ketones | Neg |
| Glucose | Neg |
| Bilirubin | Neg |
| Characteristic | Result |
|---|---|
| WBC/hpf | <2/hpf |
| RBC/hpf | None |
| Casts | None |
| Other | None |