
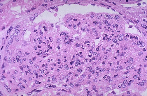
| The hypercellularity of post-infectious glomerulonephritis is due to increased numbers of epithelial, endothelial, and mesangial cells as well as neutrophils in and around the glomerular capillary loops. This disease may follow several weeks after infection with certain strains of group A beta hemolytic streptococci. Patients who have had a strep infection typically have an elevated anti-streptolysin O (ASO) titer. |
![]() |