
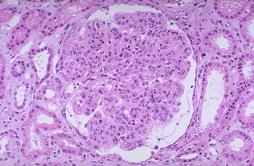
| This glomerulus is hypercellular and capillary loops are poorly defined. This is a type of proliferative glomerulonephritis known as post-infectious glomerulonephritis. This case followed a group A beta hemolytic streptococcal infection of the pharynx 3 weeks earlier. |
![]() |