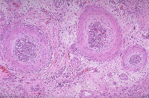
This is chronic vascular rejection of a renal transplant, which has a poor prognosis. Note the thickened arteries with intimal fibrosis and chronic inflammation. These changes gradually occur over months in affected patients.