
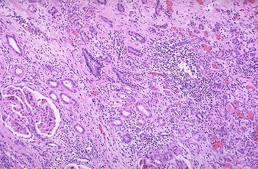
| Seen here is acute tubulointerstitial cellular rejection of a renal transplant. This can occur days to months to years following transplantation. Both CD4 and CD8 lymphocytes participate in this rejection reaction. The immunosuppressive drugs such as cyclosporine given to counteract the rejection may lead to nephrotoxicity with similar changes as well. |
![]() |