
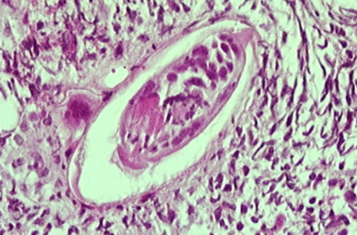
| Here is a Schistosoma hematobium egg with a terminal spine. The presence of many S. hematobium eggs incites an inflammatory reaction which can lead to bladder wall fibrosis and calcification. The chronic inflammation can lead to squamous metaplasia and increase the risk for squamous cell carcinoma of the bladder. This particular parasitic infection is endemic to Africa and the Near East, where the definitive snail hosts live. [Image courtesy of Dr. Ilan Hammel, Tel Aviv University] |
![]() |