
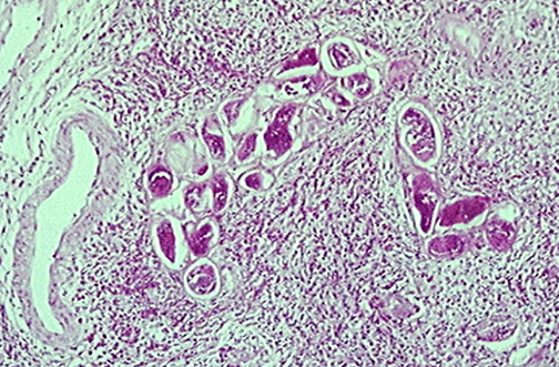
| The oblong objects seen here at medium power in the bladder wall are eggs of Schistosoma hematobium. This parasite is a trematode and the adult worms reside in veins. S. hematobium females reside in branches of pelvic veins and lay eggs that have sharp terminal spines which allow the eggs to migrate through the bladder wall and be excreted into the urine. [Image courtesy of Dr. Ilan Hammel, Tel Aviv University] |
![]() |