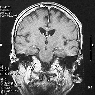
This is a normal coronal T1 weighted enhanced MRI scan demonstrating the frontal lobe and temporal lobe and hippocampus and thalamus and pons and lateral ventricle and third ventricle and superior sagittal sinus and corpus callosum.

Next MR Image

Radiology Menu