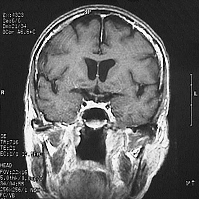
This is a normal coronal T1 weighted enhanced MRI scan demonstrating the frontal lobe and temporal lobe and caudate and putamen and internal carotid artery and insular cortex and lateral ventricle and superior sagittal sinus and corpus callosum.

Next MR Image

Radiology Menu