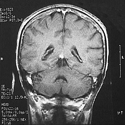
This is a normal coronal T1 weighted enhanced MRI scan demonstrating the parietal lobe and occipital lobe and cerebellar hemisphere and fourth ventricle and superior sagittal sinus and sigmoid sinus and occipital horn of lateral ventricle and choroid plexus.

Next MR Image

Radiology Menu