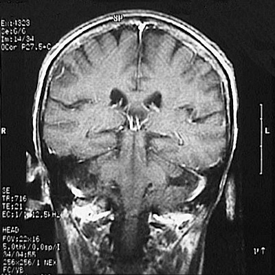
This is a normal coronal T1 weighted enhanced MRI scan demonstrating the parietal lobe and temporal lobe and cerebellar hemisphere and pons and middle cerebral peduncle and lateral ventricle and superior sagittal sinus and corpus callosum.

Next MR Image

Radiology Menu