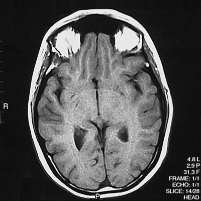
This is a normal axial T1 weighted MRI scan demonstrating the inferior frontal lobe and temporal lobe and occipital lobe and atrium of lateral ventricle and frontal sinus and orbit.

Next MR Image

Radiology Menu