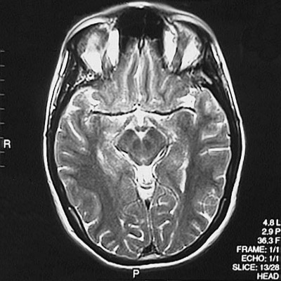
This is a normal axial T2 weighted MRI scan demonstrating the inferior frontal lobe and temporal lobe and occipital lobe and cerebral peduncle and substantia nigra and red nucleus and aqueduct of Sylvius and frontal sinus and orbit.

Next MR Image

Radiology Menu