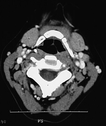
This is a normal axial head and neck CT scan demonstrating the hyoid bone and pharynx and submandibular gland and spinal canal and sternocleidomastoid muscle and internal jugular vein and external carotid artery and internal carotid artery.

Next CT Image

Radiology Menu