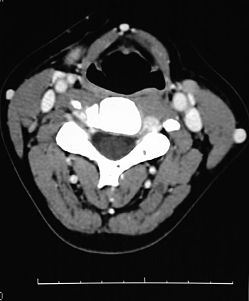
This is a normal axial head and neck CT scan demonstrating the thyrohyoid membrane and pharynx and sternocleidomastoid muscle and external jugular vein and levator scapulae muscle and semispinalis muscle and splenius capitis muscle and trapezius muscle and internal jugular vein and common carotid artery.

Next CT Image

Radiology Menu