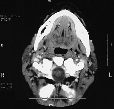
This is a normal axial head and neck CT scan demonstrating the mandible and oropharynx and tongue and facial vein and parotid gland and sternocleidomastoid muscle and internal jugular vein and external carotid artery and internal carotid artery and retromandibular vein.

Next CT Image

Radiology Menu