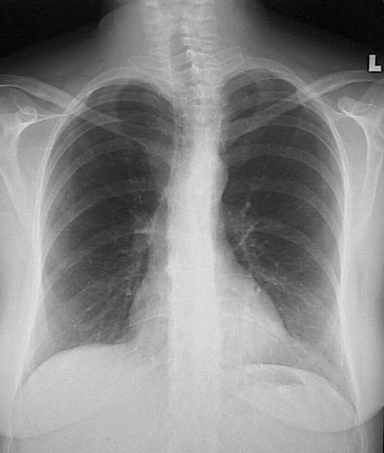
This is a normal PA chest radiograph in a female who has slight upper thoracic spondylosis with scoliosis. The lower margins of the right and left breasts are apparent.

Next Radiograph

Radiology Menu