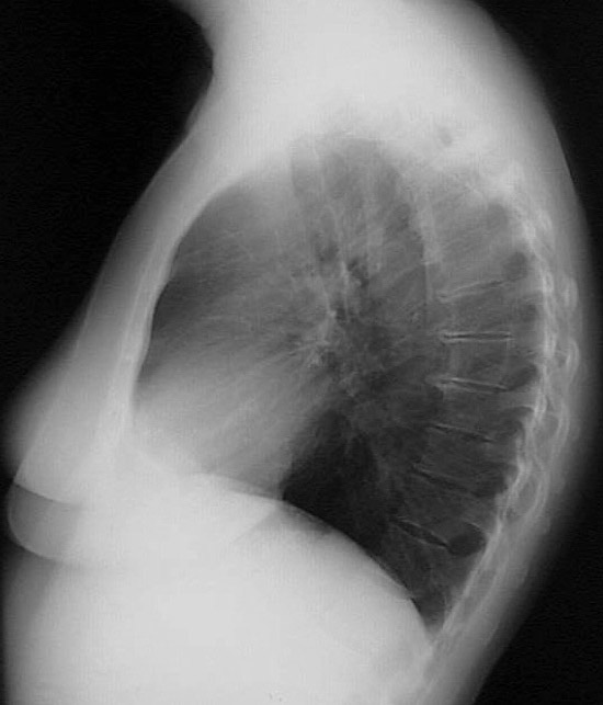
This is a normal lateral chest radiograph in a female who has slight upper thoracic spondylosis.

Radiology Menu