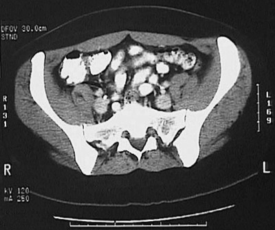
[L5] This is a normal abdominal CT scan with contrast demonstrating the lower abdomen with the small intestine and rectus abdominis muscle and iliacus muscle and gluteus medius muscle and multifidus muscle and ilium and sacroiliac joint and psoas muscle .

Next CT Image

Radiology Menu