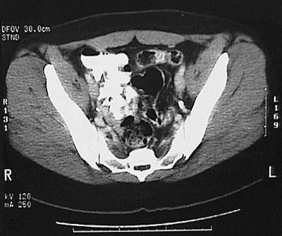
[S2] This is a normal abdominal CT scan with contrast demonstrating the lower abdomen with the sigmoid colon and rectus abdominis muscle and iliacus muscle and gluteus minimus muscle and gluteus medius muscle and gluteus maximus muscle and ilium and sacrum and sacroiliac joint .

Next CT Image

Radiology Menu