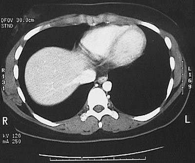
[T10] This is a normal abdominal CT scan with contrast demonstrating the lower chest with the left ventricle and right ventricle and interventricular septum and inferior vena cava and right lung and left lung and liver and esophagus and aorta .

Next CT Image

Radiology Menu